Table of Contents
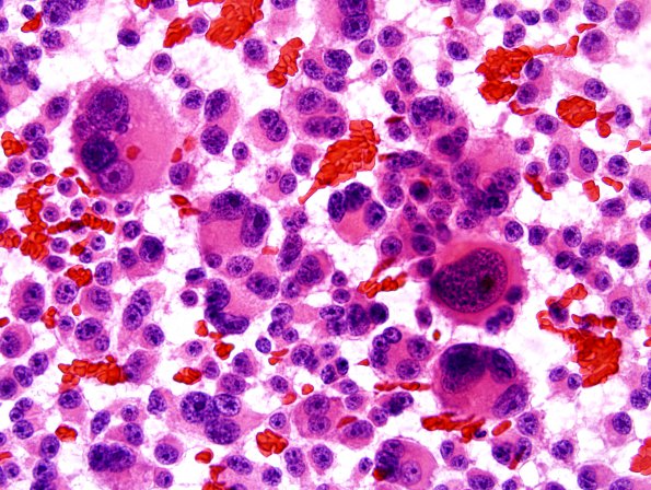
Washington University Experience | NEOPLASMS (METASTASES) | Microscopic | 3A1 Pituitary Carcinoma, metastatic (Case 3) H&E smear 2.jpg
Case 3 History ---- The patient is a 49-year-old man with clinical history of metastatic pituitary carcinoma. The cervical spine MRI in 11/2016 showed several intradural, extramedullary metastatic lesions within the ventral spinal canal, extending from T1 to T7. There is no underlying spinal cord abnormality. Operative procedure: T1-T3 laminectomy for intradural tumor with lumbar drain insertion. ---- 3A1 This is an intraoperative smear of an intradural spinal column mass showing the large, multinucleated tumor cells accompanying small cells in this metastatic pituitary carcinoma (H&E)
