Table of Contents
Washington University Experience | NEOPLASMS (METASTASES) | Microscopic | 3A2 Pituitary Carcinoma, metastatic (Case 3) H&E 2.jpg
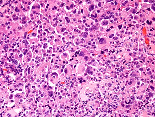
The permanent specimen on this case continues to show marked atypia with numerous bizarre giant cells. (H&E)
