Table of Contents
« prev
next »
Washington University Experience
|
NEOPLASMS (METASTASES)
|
Microscopic
|
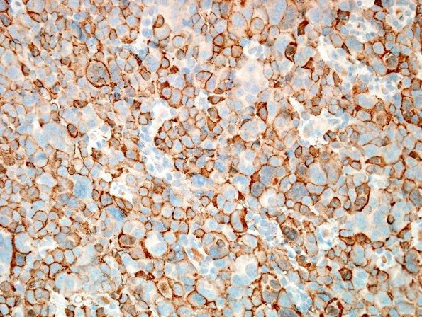
3B Pituitary Carcinoma, metastatic (Case 3) ACTH 1.jpg
The tumor is a pituitary carcinoma, corticotroph subtype. (ACTH IHC)
Image Info
Camera Maker:
Olympus Corporation
Camera Model:
DP70
Original Time Taken:
12-11-2016
Shutter Speed:
1/275 sec
ISO Sensitivity:
200
Metering Mode:
Spot
Gallery RSS
|
Archive View
|
Login
|
Powered by
Zenphoto