Table of Contents
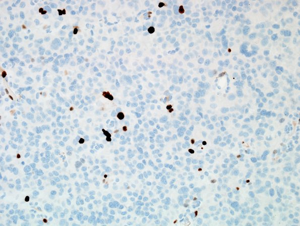
Washington University Experience | NEOPLASMS (METASTASES) | Microscopic | 3C Pituitary Carcinoma, metastatic (Case 3) Ki67 1.jpg
Pituitary carcinomas vary significantly in proliferative activity. In this case it is ~5%. (Ki67 IHC)
