Table of Contents
« prev
next »
Washington University Experience
|
NEOPLASMS (METASTASES)
|
Microscopic
|
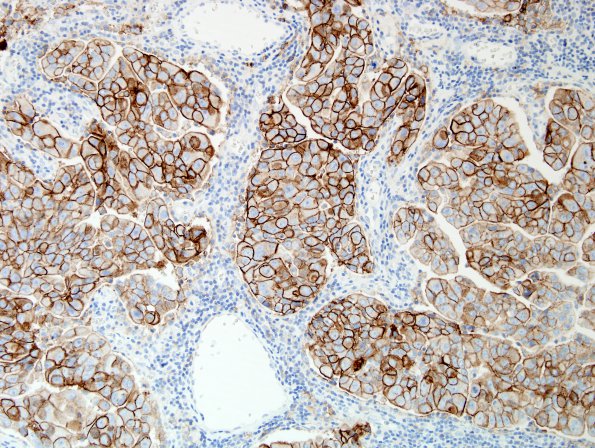
45B1 Metastasis, lung (Case 45) PD-L1 20X.jpg
45B1,2 PD-L1 immunohistochemistry demonstrates delicate peripheral membranous staining. (PD-L1 IHC)
Image Info
Camera Maker:
Olympus Corporation
Camera Model:
DP70
Original Time Taken:
18-08-2016
Shutter Speed:
1/1050 sec
ISO Sensitivity:
200
Metering Mode:
Spot
Gallery RSS
|
Archive View
|
Login
|
Powered by
Zenphoto