Table of Contents
Washington University Experience | NEOPLASMS (METASTASES) | Microscopic | 49A1 Metastases, small cell lung CA (Case 49) H&E 2
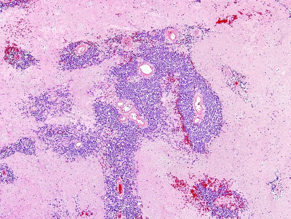
Case 49 History ---- The patient is a 63 year old man with a history of small cell carcinoma (with reactivity for TTF-1, cytokeratin, and chromogranin), diagnosed on biopsy material from mediastinal soft tissue and lymph nodes. He now has multiple enhancing brain lesions. The largest is located in the left cerebellum and has increased in size since 04/2007, now measuring 5.4 x 5.2 x 3.4 cm. Operative procedure: Posterior fossa craniotomy for tumor resection. ----49A1,2 Histological sections of the "cerebellar mass" show multiple pieces of neoplastic tissue populated by sheets of tumor cells with minimal cytoplasm, irregular nuclei, dense finely-speckled chromatin, and small or indistinct nucleoli. Nuclear molding is widespread. Mitotic figures are abundant. Occasional apoptotic bodies are seen. Broad areas of the tumor show bland necrosis, with perivascular sparing.
