Table of Contents
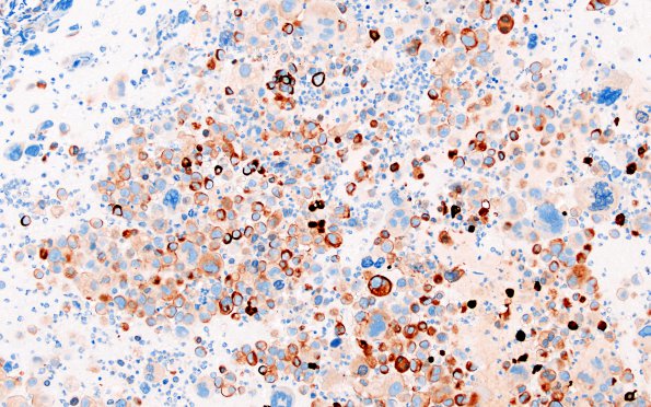
Washington University Experience | NEOPLASMS (METASTASES) | Microscopic | 51B1 Metastasis, giant cell CA lung (Case 51) CAM52 3
51B-C The poorly differentiated tumor cells show widespread reactivity to CAM 5.2 (51B1,2) and CK7 (51C). Melan-A and HMB-45 are negative.
