Table of Contents
« prev
next »
Washington University Experience
|
NEOPLASMS (METASTASES)
|
Microscopic
|
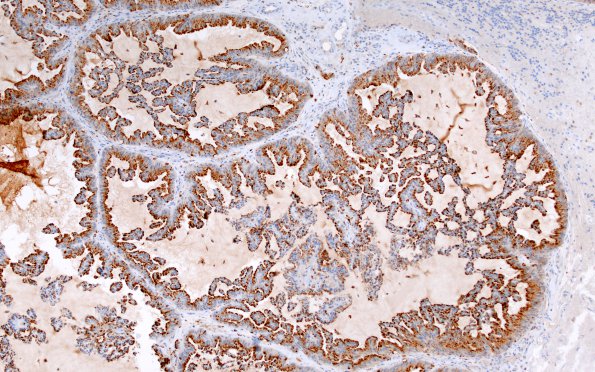
61B Metastasis, lung (Case 61) Napsin A 3
The tumor cells are positive for Napsin-A (61B) and TTF-1 (61C),
Image Info
Camera Maker:
Olympus
Camera Model:
DP74
Shutter Speed:
14/27451 sec
Metering Mode:
Average
Gallery RSS
|
Archive View
|
Login
|
Powered by
Zenphoto