Table of Contents
Washington University Experience | NEOPLASMS (METASTASES) | Microscopic | 72C Metastasis, lung, squamous (Case 72) p40 1
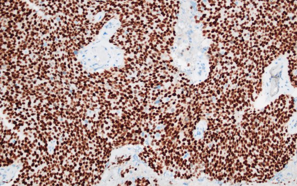
Tumor cells are p40 immunoreactive. ---- Not shown: The tumor also stains for CK7 and CK5/6. ---- The collective morphological and immunohistochemical features are consistent with metastatic squamous cell carcinoma of lung origin.
