Table of Contents
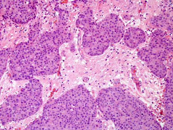
Washington University Experience | NEOPLASMS (METASTASES) | Microscopic | 84A1 Metastasis (Case 84) breast primary H&E 4.jpg
Case 84 History ---- The patient is a 54-year-old woman presented for an elective resection of her known left cerebellar pontine angle tumor. The patient's past medical history is significant for HIV infection. She had no prior malignancy. Brain MRI on 12/2013 showed a 4.0 cm left cerebellar pontine angle dural-based tumor. Operative procedure: Posterior fossa craniotomy for tumor resection. ---- 84A1-4 H&E stained sections from the posterior fossa mass show multiple fragments of a poorly differentiated high-grade neoplasm with high mitotic index, multifocal necrosis, and widespread brain invasion. The tumor cells are arranged in sheets, cords, and nests. Small tumor nests extensively infiltrate adjacent cerebellar parenchyma. Mitotic figures are abundant and reach 65 mitoses/10HPF. Necrosis is widespread and often with comedo-type morphology. Individual tumor cells are epithelioid with distinct cell borders, abundant eosinophilic cytoplasm, round nuclei, and prominent macronucleoli.
