Table of Contents
« prev
next »
Washington University Experience
|
NEOPLASMS (METASTASES)
|
Microscopic
|
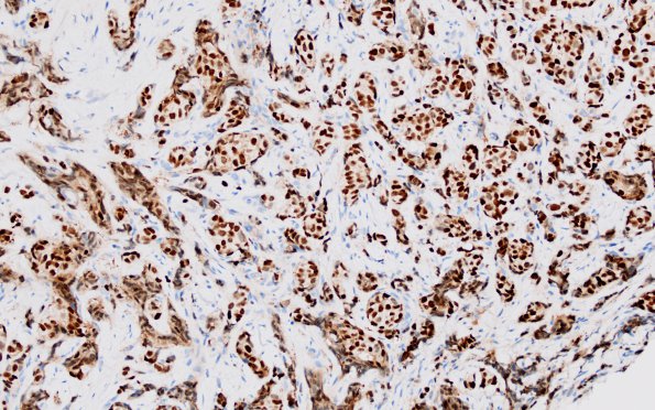
86B1 Metastasis, breast (Case 86) ER 1
Immunohistochemistry establishes tumor cells to be positive for ER (86B1), PR (86B2,3), and mammaglobin (86B4)
Image Info
Camera Maker:
Olympus
Camera Model:
DP74
Shutter Speed:
31/25000 sec
Metering Mode:
Average
Gallery RSS
|
Archive View
|
Login
|
Powered by
Zenphoto