Table of Contents
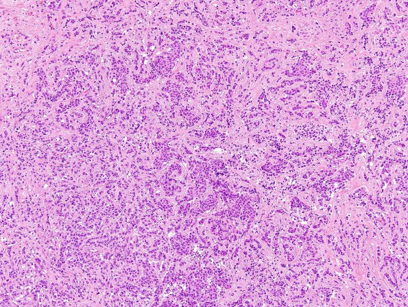
Washington University Experience | NEOPLASMS (METASTASES) | Microscopic | 90A1 Metastasis, breast (Case 90) H&E 4
Case 90 History ---- The patient is a 52-year-old woman with a right cerebellar lesion. Operative procedure: Craniotomy of posterior fossa, with resection of metastatic lesion. ---- 90A1-3 Sections from the cerebellar lesion show a metastatic poorly differentiated carcinoma with a predominant nested, single-file and solid growth pattern.
