Table of Contents
« prev
next »
Washington University Experience
|
NEOPLASMS (METASTASES)
|
Microscopic
|
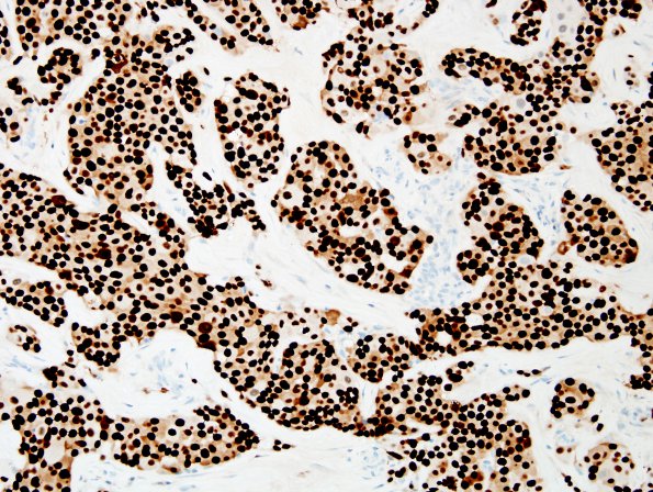
91B1 Metastasis, breast (Case 91) ER 1.jpg
Estrogen receptor is positive.
Image Info
Camera Maker:
Olympus Corporation
Camera Model:
DP70
Original Time Taken:
14-12-2012
Shutter Speed:
1/430 sec
ISO Sensitivity:
200
Metering Mode:
Spot
Gallery RSS
|
Archive View
|
Login
|
Powered by
Zenphoto