Table of Contents
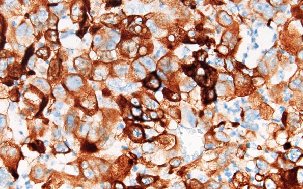
Washington University Experience | NEOPLASMS (METASTASES) | Microscopic | 95C2 Metastasis large cell lung CA (Case 95) Cam 5.2 60X
Tumor cells are positive for CAM5.2 (CAM5.2 IHC) ---- Not shown: Tumor cells are negative for Calretinin, CD45, CDX2, CK20, GFAP, melanA, Pax8, Sox10, and TTF-1. The histomorphology and staining pattern, particularly the abundant acute inflammation and emperipolesis, although not entirely specific, in the setting of the patient's large lung/mediastinal mass are highly suspicious for large cell lung carcinoma with giant cell features.
