Table of Contents
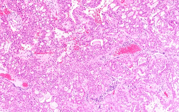
Washington University Experience | NEOPLASMS (METASTASES) | Microscopic | 96A1 Metastasis, Lung adeno (Case 96) H&E 10X
Case 96 History ---- The patient is a 65yo male with a history of lung cancer metastatic to brain. ---- 96A1,2 H&E-stained sections show a moderately differentiated metastatic adenocarcinoma with cribriform and glandular architecture. The cells are moderately pleomorphic with abundant eosinophilic cytoplasm and large oval nuclei with prominent nucleoli. Mitoses are brisk. (H&E)
