Table of Contents
« prev
next »
Washington University Experience
|
NEOPLASMS (METASTASES)
|
Single Case
|
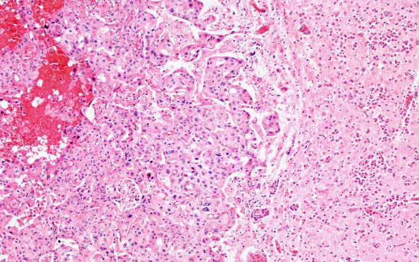
1B4 Metastases (Case 1) G H&E 10X 3
Foci of hemorrhage are common in metastases. (H&E)
Image Info
Camera Maker:
Olympus
Camera Model:
DP74
Shutter Speed:
7/12500 sec
Metering Mode:
Multi-Spot
Gallery RSS
|
Archive View
|
Login
|
Powered by
Zenphoto