Table of Contents
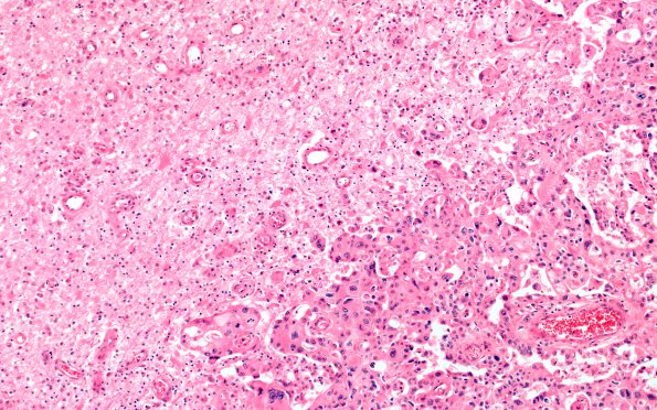
Washington University Experience | NEOPLASMS (METASTASES) | Single Case | 1B5 Metastases (Case 1) G H&E 10X 1
1B5,6 Close-up of the margin of the tumor with the brain shows cohesive tumor, edema, astrocytic proliferation and endothelial prominence. (H&E)
