Table of Contents
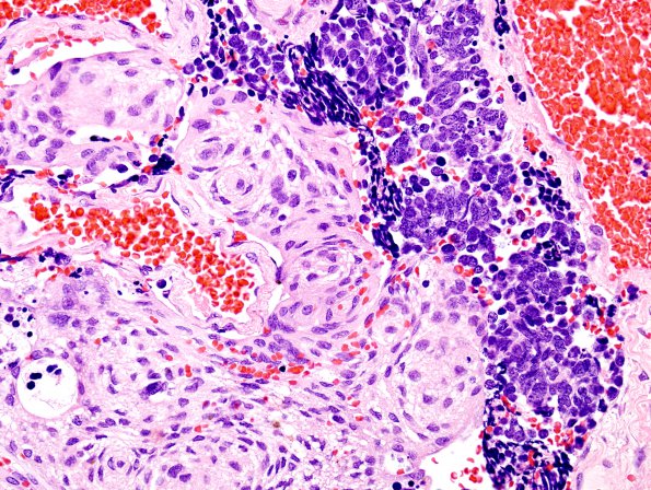
Washington University Experience | NEOPLASMS (METASTASES) | Metastasis - to - Tumor | 1B5 Meningioma with SCLC metastasis (Case 1) H&E 10
The tumors differ consistently in histologic appearance, representing a lung cancer metastasis to a meningioma. (H&E).
