Table of Contents
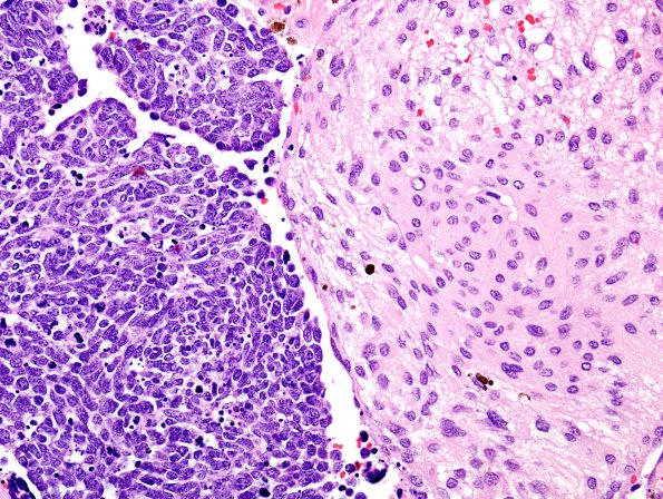
Washington University Experience | NEOPLASMS (METASTASES) | Metastasis - to - Tumor | 1B6 Meningioma with SCLC metastasis (Case 1) H&E 14
The tumors differ consistently in histologic appearance, representing a lung cancer metastasis to a meningioma. (H&E).
