Table of Contents
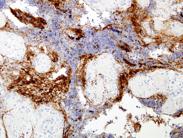
Washington University Experience | NEOPLASMS (METASTASES) | Metastasis - to - Tumor | 1C2 Meningioma with SCLC metastasis (Case 1) EMA 7
The meningioma portion of the specimen shows strong EMA labeling and absence of EMA staining in the small cell neuroendocrine carcinoma. (EMA IHC)
