Table of Contents
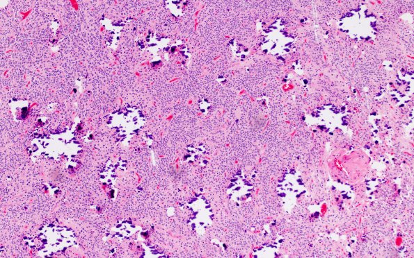
Washington University Experience | NEOPLASMS (NEURONAL) | Central Neurocytoma | 13B1 Central neurocytoma (Case 13) H&E 10X
13B1-3 H&E stained sections show a hypercellular neoplasm comprised of monotonous isomorphic sheets of tumor cells, demonstrating round-to-oval nuclei with smooth nuclear contours, fine chromatin and inconspicuous micronucleoli. The cytoplasm demonstrates fibrillary to clear features. The background vessels are thin and somewhat branched. Abundant micro-calcifications are present. Unequivocal mitotic activity is difficult to find. There is no significant evidence of microvascular proliferation or tumor necrosis. (H&E)
