Table of Contents
« prev
next »
Washington University Experience
|
NEOPLASMS (NEURONAL)
|
Central Neurocytoma
|
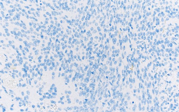
13F Central neurocytoma (Case 13) Olig2 40X 2
Most tumor cells are negative for Olig2. (Olig2 IHC)
Image Info
Camera Maker:
Olympus
Camera Model:
DP74
Shutter Speed:
24/3125 sec
Metering Mode:
Multi-Spot
Gallery RSS
|
Archive View
|
Login
|
Powered by
Zenphoto