Table of Contents



Washington University Experience | NEOPLASMS (NEURONAL) | Central Neurocytoma | 4A3 Neurocytoma, central, atypical (Case 4) T2 2 - Copy

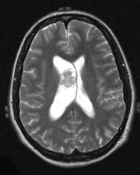
4A3 Neurocytoma, central, atypical (Case 4) T2 2 - Copy
The appearance is bubbly and nodular on T2-a weighted image.


Gallery RSS RSS Feed | Archive View | Login | Powered by Zenphoto