Table of Contents
« prev
next »
Washington University Experience
|
NEOPLASMS (NEURONAL)
|
Central Neurocytoma
|
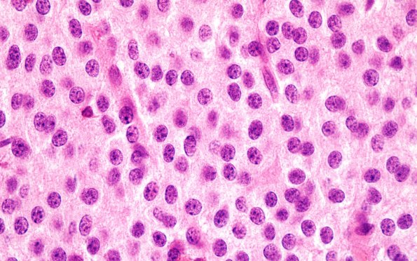
4B7 Neurocytoma, central, atypical (Case 4) H&E 100X 2
Higher magnification tumor image (H&E)
Image Info
Camera Maker:
Olympus
Camera Model:
DP74
Shutter Speed:
17/500 sec
Metering Mode:
Multi-Spot
Gallery RSS
|
Archive View
|
Login
|
Powered by
Zenphoto