Table of Contents
Washington University Experience | NEOPLASMS (NEURONAL) | Central Neurocytoma | 4J13 Neurocytoma, central, atypical (Case 4) EM 008 - Copy
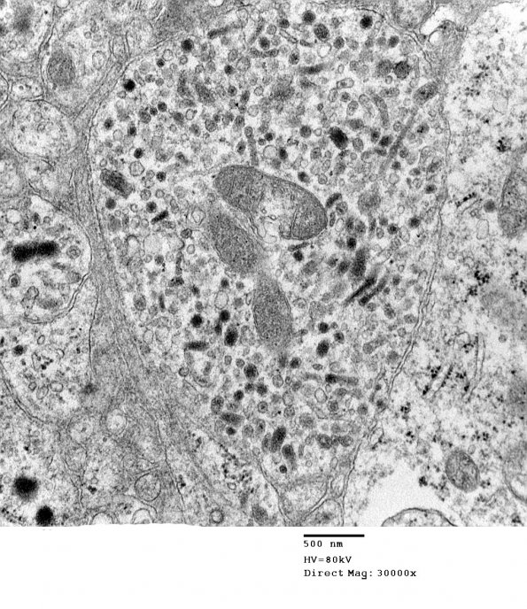
Higher magnification of image #4J12. ---- Comment: Although the morphological features are those of a central neurocytoma (WHO grade II), the presence of a Ki67 labeling index of >2% (reaching ~4.2%) is unusual and is interpreted as atypical central neurocytoma.
