Table of Contents
Washington University Experience | NEOPLASMS (NEURONAL) | Central Neurocytoma | 7A1 Neurocytoma, central, atypical (Case 7) H&E 10.jpg
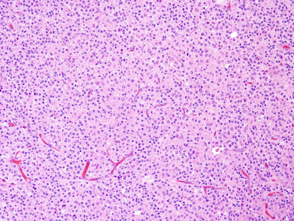
Case 7 History ---- The patient was a 12-year-old boy who was found incidentally to have a 2 cm lesion in his right lateral ventricle. Operative procedure: Right-sided craniotomy for resection of lesion with intraoperative use of Stealth-guided neuronavigation and microscope. ---- 7A1-4 Sections from the "right ventricular lesion" show a moderately cellular neoplasm comprised of sheets of monotonous tumor cells with linear arborizing capillaries, frequent micro-calcifications and patchy pale mucoid matrix. In some areas, poorly formed Homer-Wright rosettes are present. The tumor cells have round nuclei with finely speckled chromatin and variable amount of fibrillary cytoplasm. In some areas, tumor cells show perinuclear halo that superficially resemble oligodendroglioma. Occasional examples of ganglioid cells and focal hypercellular areas are notable. Mitoses are scattered and focally reach a count of up to ~3/10 hpf. No microvascular proliferation and/or necrosis are seen.
