Table of Contents
« prev
next »
Washington University Experience
|
NEOPLASMS (NEURONAL)
|
DNET
|
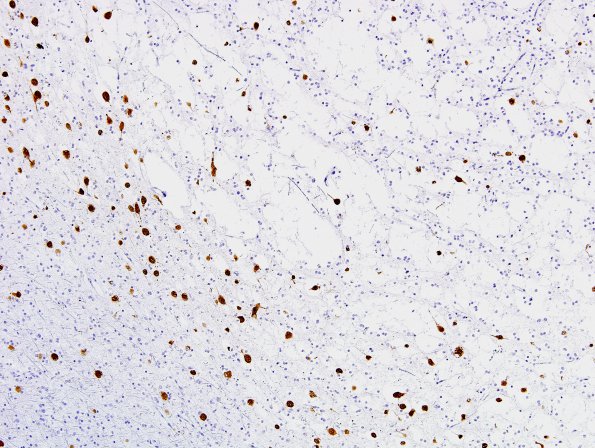
10B DNET (Case 10) NeuN 5.jpg
The NeuN stain highlights the floating neurons and scattered neurons in the white matter.
Image Info
Camera Maker:
Olympus Corporation
Camera Model:
DP70
Original Time Taken:
01-05-2013
Shutter Speed:
1/440 sec
ISO Sensitivity:
200
Metering Mode:
Spot
Gallery RSS
|
Archive View
|
Login
|
Powered by
Zenphoto