Table of Contents
« prev
next »
Washington University Experience
|
NEOPLASMS (NEURONAL)
|
DNET
|
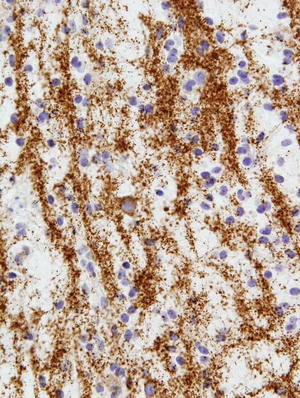
20B2 DNET (Case 20) Column area SYN 1.jpg
The immunolocalization of synaptophysin stains infiltrated cortical elements and decorating axonal processes. (SYN IHC)
Image Info
Camera Maker:
Olympus Corporation
Camera Model:
DP70
Original Time Taken:
01-05-2013
Shutter Speed:
1/72 sec
ISO Sensitivity:
200
Metering Mode:
Spot
Gallery RSS
|
Archive View
|
Login
|
Powered by
Zenphoto