Table of Contents



Washington University Experience | NEOPLASMS (NEURONAL) | DNET | 23A4 DNET (Case 23) H&E 6

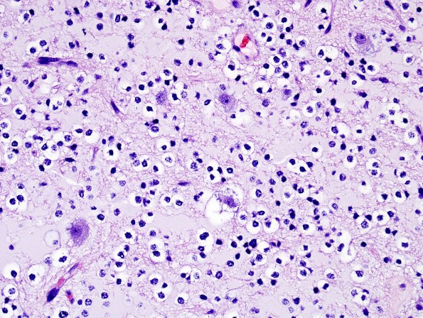
23A4 DNET (Case 23) H&E 6
Higher magnification of the lesion. (H&E)


Gallery RSS RSS Feed | Archive View | Login | Powered by Zenphoto