Table of Contents
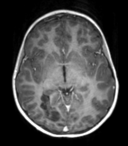
Washington University Experience | NEOPLASMS (NEURONAL) | DNET | 29A1 T1wC (Case 29) a
Case 29 History ---- The patient is a 6-year-old girl with refractory epilepsy and a non-enhancing, cortically-based mass in the right occipital lobe. Operative Procedure: IMRI craniotomy for tumor excision. ---- 29A1 This T1-weighted contrast-administered MRI scan shows a hypointense occipital multi-nodular lesion.
