Table of Contents



Washington University Experience | NEOPLASMS (NEURONAL) | DNET | 29A2 DNET & Heterotopia (Case 29) T2 propeller a

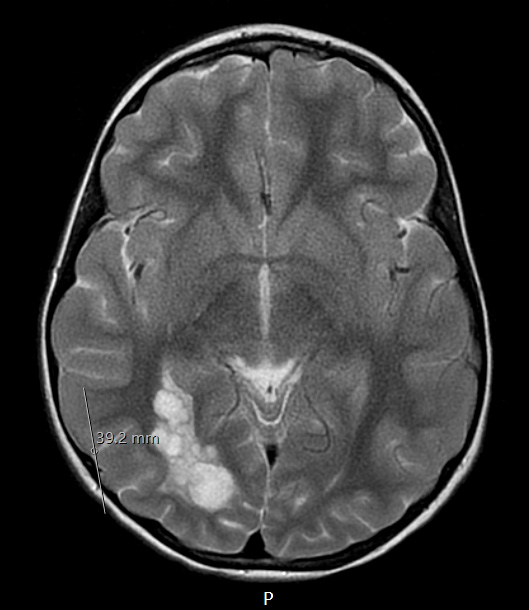
29A2 DNET & Heterotopia (Case 29) T2 propeller a
The lesion enhances in this T2-propeller scan, demonstrating its nodular appearance.


Gallery RSS RSS Feed | Archive View | Login | Powered by Zenphoto