Table of Contents
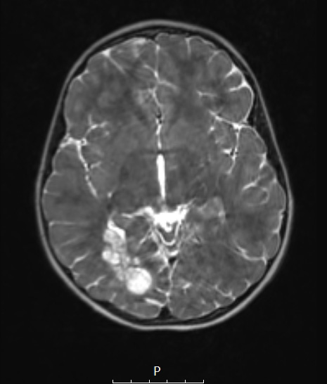
Washington University Experience | NEOPLASMS (NEURONAL) | DNET | 29A3 DNET & Heterotopia (Case 29) T2wC 3a
29A3-5 The lesion also is multinodular and hyperintense in this T2-weighted scan as seen in axial (29A3), coronal (29A4) and sagittal (29A5) sections.
