Table of Contents
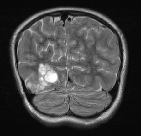
Washington University Experience | NEOPLASMS (NEURONAL) | DNET | 29A4 DNET & Heterotopia (Case 29) T2wC A
The lesion also is multinodular and hyperintense in this T2-weighted scan as seen in coronal (29A4) and sagittal (29A5) sections.
