Table of Contents



Washington University Experience | NEOPLASMS (NEURONAL) | DNET | 29A5 DNET & Heterotopia (Case 29) T2wC 2 A

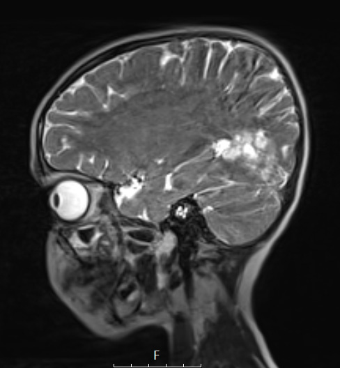
29A5 DNET & Heterotopia (Case 29) T2wC 2 A
The lesion also is multinodular and hyperintense in this T2-weighted scan as seen in sagittal sections.


Gallery RSS RSS Feed | Archive View | Login | Powered by Zenphoto