Table of Contents
Washington University Experience | NEOPLASMS (NEURONAL) | DNET | 29B1 DNET & Heterotopia (Case 29) H&E WM
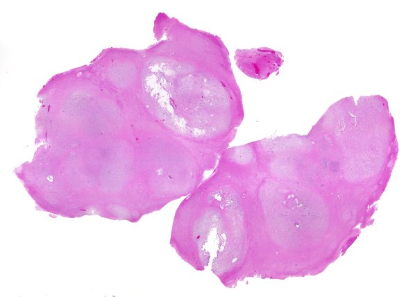
29B1-4 H&E-stained sections show a low-grade glioneuronal neoplasm arrayed in a distinctive multi-nodular configuration. The nodules consist of round, regular glial cells in a myxoid matrix with mucinous microcysts. The glial cells have indistinct borders and variable amounts of mostly clear cytoplasm. Their nuclei are round with mild atypia and irregular contours. There are only very rare neuronal forms amidst the glial cells within the myxoid nodules. Classic 'floating neurons' are not readily apparent in routine H&E sections. (H&E)
