Table of Contents
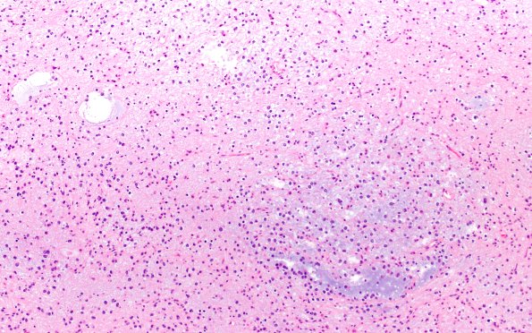
Washington University Experience | NEOPLASMS (NEURONAL) | DNET | 29B3 DNET & Heterotopia (Case 29) H&E 10X 2
The glial cells have indistinct borders and variable amounts of mostly clear cytoplasm. Their nuclei are round with mild atypia and irregular contours. There are only very rare neuronal forms amidst the glial cells within the myxoid nodules.
