Table of Contents
« prev
next »
Washington University Experience
|
NEOPLASMS (NEURONAL)
|
DNET
|
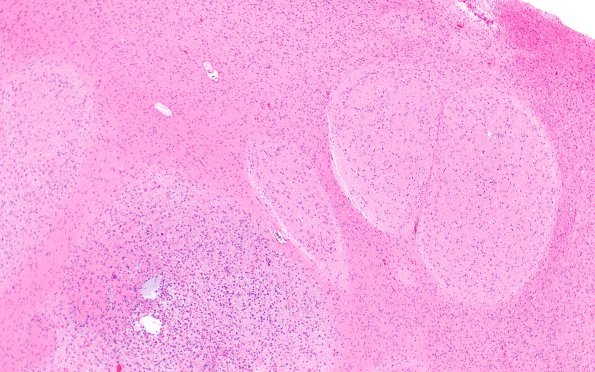
29B5 DNET & Heterotopia (Case 29) H&E 4X
Several multinodular heterotopias are seen at the margins of the DNET lesions. (H&E)
Image Info
Camera Maker:
Olympus
Camera Model:
DP74
Shutter Speed:
14/27451 sec
Metering Mode:
Multi-Spot
Gallery RSS
|
Archive View
|
Login
|
Powered by
Zenphoto