Table of Contents
« prev
next »
Washington University Experience
|
NEOPLASMS (NEURONAL)
|
DNET
|
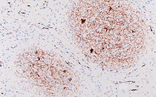
29F2 DNET & Heterotopia (Case 29) NF 20X nodule
The heterotopias show scattered neurofilament neuronal reactivity and numerous immunoreactive neurites. (NF IHC)
Image Info
Camera Maker:
Olympus
Camera Model:
DP74
Shutter Speed:
23/22549 sec
Metering Mode:
Multi-Spot
Gallery RSS
|
Archive View
|
Login
|
Powered by
Zenphoto