Table of Contents
« prev
next »
Washington University Experience
|
NEOPLASMS (NEURONAL)
|
DNET
|
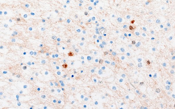
29G2 DNET & Heterotopia (Case 29) NeuN 40X 2
Rare floating neurons in the DNET lesions. (NeuN IHC)
Image Info
Camera Maker:
Olympus
Camera Model:
DP74
Shutter Speed:
29/6250 sec
Metering Mode:
Multi-Spot
Gallery RSS
|
Archive View
|
Login
|
Powered by
Zenphoto