Table of Contents
« prev
next »
Washington University Experience
|
NEOPLASMS (NEURONAL)
|
DNET
|
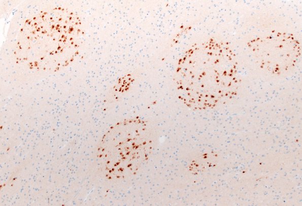
29G3 DNET & Heterotopia (Case 29) NeuN 10X 2
29G3,4 The heterotopic elements stain strongly with NeuN. (NeuN IHC)
Image Info
Camera Maker:
Olympus
Camera Model:
DP74
Shutter Speed:
14/27451 sec
Metering Mode:
Multi-Spot
Gallery RSS
|
Archive View
|
Login
|
Powered by
Zenphoto