Table of Contents
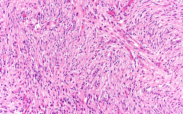
Washington University Experience | NEOPLASMS (NEURONAL) | Desmoplastic Infantile Ganglioglioma (DIG) | 4A4 DIG (Case 4) H&E 20X
Higher magnification image of the neoplasm shows significant collagen and fibrosis admixed with tumor cells. The spindle cells are arranged in fascicles or in a vaguely storiform pattern with dilated vascular spaces. (H&E)
