Table of Contents
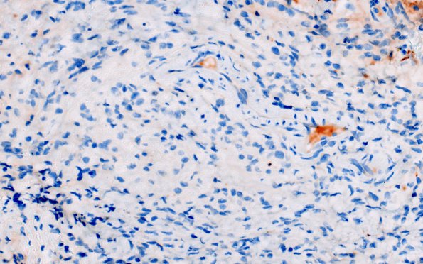
Washington University Experience | NEOPLASMS (NEURONAL) | Diffuse Leptomeningeal Glioneuronal Tumor (DLGNT) | 1C5 Diffuse leptomeningeal glioneuronal tumor (Case 1) GFAP 40X 1
Higher magnification of the DLGNT failing to show labeling of tumor cells. (GFAP IHC)
