Table of Contents
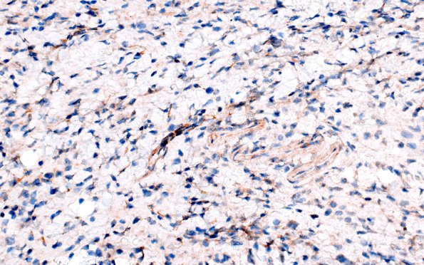
Washington University Experience | NEOPLASMS (NEURONAL) | Diffuse Leptomeningeal Glioneuronal Tumor (DLGNT) | 1G4 Diffuse leptomeningeal glioneuronal tumor (Case 1) IDH1 40X 1
There is no tumor cell reactivity for mutant (p. R132H) IDH1. (IDH IHC)
