Table of Contents
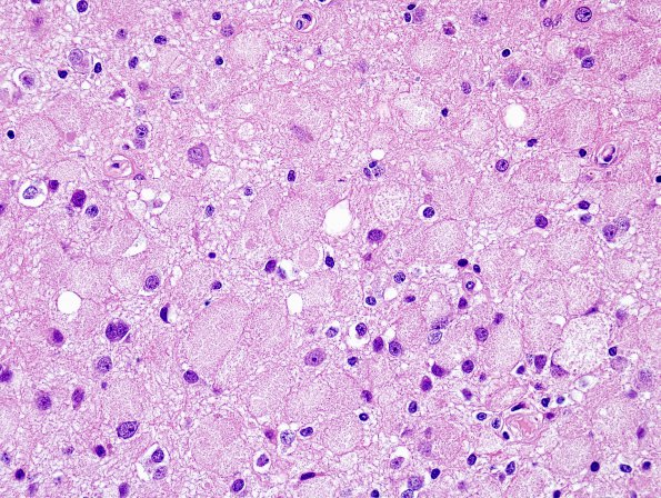
Washington University Experience | NEOPLASMS (NEURONAL) | Ganglioglioma | 15A2 Ganglioglioma (Case 15) H&E 4
A small focus of a discrete tumor composed of ganglion-like cells is noted with a large number of round granular anucleate structures, some resembling granular spheroids.
