Table of Contents



Washington University Experience | NEOPLASMS (NEURONAL) | Ganglioglioma | 15G Ganglioglioma (Case 15) MIB

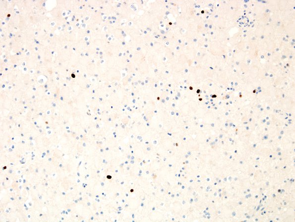
15G Ganglioglioma (Case 15) MIB
The tumor has a low Ki-67 proliferation index. (Ki67 IHC)


Gallery RSS RSS Feed | Archive View | Login | Powered by Zenphoto