Table of Contents
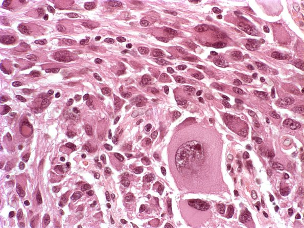
Washington University Experience | NEOPLASMS (NEURONAL) | Ganglioglioma | 18A5 Ganglioglioma (Case 18) H&E 1
This tumor is rich in ganglion neurons of various sizes and numbers of neurons and contains a significant inflammatory infiltrate. (H&E)
