Table of Contents
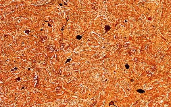
Washington University Experience | NEOPLASMS (NEURONAL) | Ganglioglioma | 18C1 Ganglioglioma (Case 18) Biels 10X
18C1-3 Two types of silver stains are used to highlight neuronal cell bodies and scattered neurites. (18C1,2 Bielschowsky; 18C3 Sevier-Munger)
