Table of Contents
Washington University Experience | NEOPLASMS (NEURONAL) | Ganglioglioma | 19A1 Ganglioglioma (Case 19) T1W 1 - Copy
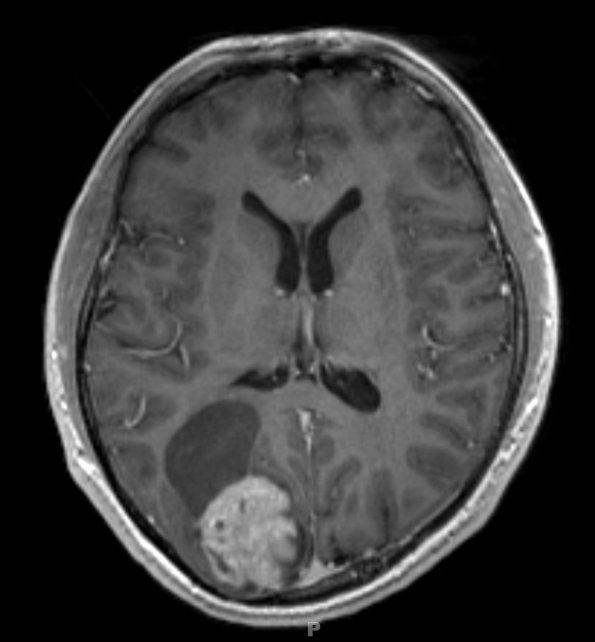
Case 19 History ---- The patient is a 17-year-old boy who experienced new onset seizures with a visual aura and subsequently experienced generalized tonic/clonic seizures. MRI showed a ~4 cm solid and cystic, contrast-enhancing, mildly diffusion-restricting, spherical mass in the right parietal occipital lobe, accompanied by a ~6-7 cm anterosuperior cystic component, and some skull remodeling. Operative procedure: Right occipital craniotomy for gross total resection. ---- 19A1 This T1 weighted scan with contrast administered shows a cystic neoplasm with an enhancing mural nodule.
