Table of Contents
Washington University Experience | NEOPLASMS (NEURONAL) | Ganglioglioma | 19B2 Ganglioglioma (Case 19) H&E 23.jpg
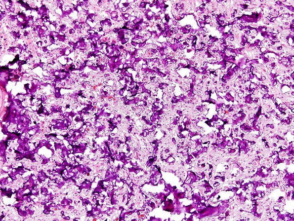
High magnification of fragments of the neurosurgical specimen show prominent calcifications at higher magnification (H&E)
