Table of Contents



Washington University Experience | NEOPLASMS (NEURONAL) | Ganglioglioma | 20A5 Ganglioglioma (Case 20) H&E 1

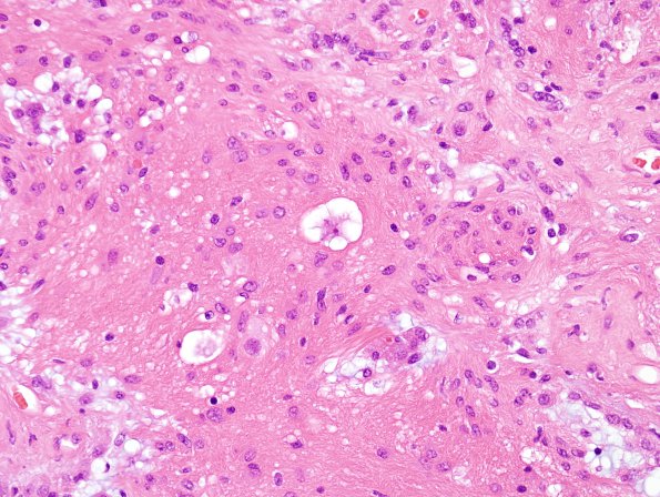
20A5 Ganglioglioma (Case 20) H&E 1
Higher magnification image of biphasic pattern. (H&E)


Gallery RSS RSS Feed | Archive View | Login | Powered by Zenphoto